「脳動脈瘤」をスクリーニングするAI画像診断支援ソフトの威力

EIRL Brain Aneurysm(エイル・ブレイン・アニュリズム)検出画面(エルピクセル提供)
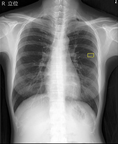
EIRL Chest Nodule(エイル・チェスト・ノジュール)検出画面(エルピクセル提供)

この記事を読む

  • アクセスランキング

  • 週間

  1. 1

    阿部巨人V逸の責任を取るのは二岡ヘッドだけか…杉内投手チーフコーチの手腕にも疑問の声

  2. 2

    渋野日向子に「ジャンボ尾崎に弟子入り」のススメ…国内3試合目は50人中ブービー終戦

  3. 3

    ソフトバンクは「一番得をした」…佐々木麟太郎の“損失見込み”を上回る好選定

  4. 4

    沢口靖子「絶対零度」が月9ワースト目前の“戦犯”はフジテレビ? 二匹目のドジョウ狙うも大誤算

  5. 5

    巨人・桑田二軍監督の電撃退団は“事実上のクビ”…真相は「優勝したのに国際部への異動を打診されていた」

もっと見る

  1. 6

    阪神「次の二軍監督」候補に挙がる2人の大物OB…人選の大前提は“藤川野球”にマッチすること

  2. 7

    国分太一が「世界くらべてみたら」の収録現場で見せていた“暴君ぶり”と“セクハラ発言”の闇

  3. 8

    恥辱まみれの高市外交… 「ノーベル平和賞推薦」でのトランプ媚びはアベ手法そのもの

  4. 9

    後藤真希と一緒の“8万円沖縄ツアー”に《安売りしすぎ》と心配の声…"透け写真集"バカ売れ中なのに

  5. 10

    沢口靖子も菅田将暉も大コケ不可避?フジテレビ秋ドラマ総崩れで局内戦々恐々…シニア狙いが外れた根深い事情