「脳動脈瘤」をスクリーニングするAI画像診断支援ソフトの威力
                         東京大学発の医療・創薬AIベンチャー「エルピクセル」(東京都千代田区)が、AI(人工知能)を活用した医療画像診断技術「EIRL(エイル)」の製品を次々と開発。現在、5製品が累計200医療機関(2021年7月末時点)に導入されている。
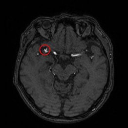
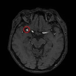
 中でも最も多く使われているのが、19年10月に発売された「EIRL Brain Aneurysm(エイル・ブレイン・アニュリズム)」。脳MRI画像からくも膜下出血の原因となる「脳動脈瘤(りゅう)」の疑いのある部分を、AIが自動で検出する医用画像解析ソフトウエアだ。全国約120施設に導入されている。
 どれくらいの画像データを学習させているのか。同社・EIRL事業本部の豊則詩帆ゼネラルマネジャーが言う。
「1症例であっても数十枚の画像に及び、10万枚以上の画像を深層学習(ディープラーニング)させています。また、学習データを選定する際、当社では各社のモダリティ(医療画像を撮影するMRIなどの機器)で撮影されたさまざまな症例をバランスよく学習させています」
 国内の大規模調査では、3ミリ以上の未破裂の脳動脈瘤は破裂する可能性があるとされる。エイル・ブレイン・アニュリズムは、2ミリ以上の袋の形をした嚢状(のうじょう)動脈瘤に類似した候補部分を検出しマーク表示する。
 通常、医師は脳MRI画像を目視で動脈瘤の疑いのある部分を探す(読影)が、その脳をスライスした画像は一患者当たり200枚前後に及ぶ。実際の最終的な診断結果は医師が決めるが、エイル・ブレイン・アニュリズムをサポートに使うことで読影の負担が減り、見逃しを防ぐことが見込めるわけだ。                    

 
                             
                                        

















 
                     
                     
                     
                     
                     
                     
                     
                     
                     
                     
                     
                     
                                 
                                 
                                 
                                 
                                 
                                 
                                 
                                 
                                 
                                 
         
         
         
         
         
         
         
         
                                 
                                 
                                 
                                 
                                 
                                 
                                 
                                 
                                 
                                 
                                 
                                 
                                