その息切れは「年のせい」じゃない!? つい見逃しがちな疾患「COPD」とは ~専門医解説

「呼吸ケアクリニック東京」茂木孝理事長
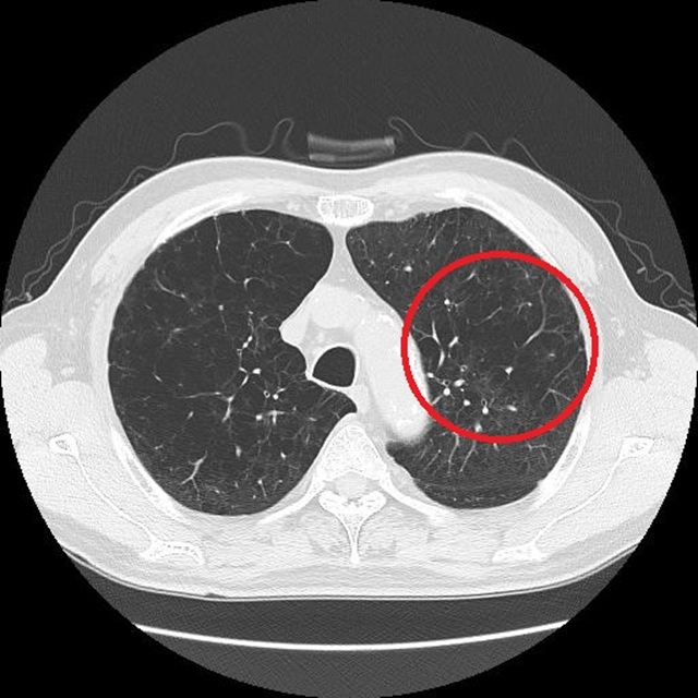
周囲より黒く抜けた部分は肺がない(肺気腫)70代男性重症COPD患者(過去喫煙の経験あり)のCT画像 提供:呼吸ケアクリニック東京
酸素吸入が必要になるケースも(イメージ)
NPO法人「環境汚染等から呼吸器病患者を守る会(エパレク)」

この記事を読む

  • アクセスランキング

  • 週間

  1. 1

    中学受験で慶応普通部に進んだ石坂浩二も圧倒された「幼稚舎」組の生意気さ 大学時代に石井ふく子の目にとまる

  2. 2

    横浜とのFA交渉で引っ掛かった森祇晶監督の冷淡 落合博満さんは非通知着信で「探り」を入れてきた

  3. 3

    出家否定も 新木優子「幸福の科学」カミングアウトの波紋

  4. 4

    国宝級イケメンの松村北斗は転校した堀越高校から亜細亜大に進学 仕事と学業の両立をしっかり

  5. 5

    放送100年特集ドラマ「火星の女王」(NHK)はNetflixの向こうを貼るとんでもないSFドラマ

もっと見る

  1. 6

    日本人選手で初めてサングラスとリストバンドを着用した、陰のファッションリーダー

  2. 7

    【京都府立鴨沂高校】という沢田研二の出身校の歩き方

  3. 8

    「核兵器保有すべき」放言の高市首相側近は何者なのか? 官房長官は火消しに躍起も辞任は不可避

  4. 9

    複雑なコードとリズムを世に広めた編曲 松任谷正隆の偉業

  5. 10

    中日からFA宣言した交渉の一部始終 2001年オフは「残留」と「移籍」で揺れる毎日を過ごした