その息切れは「年のせい」じゃない!? つい見逃しがちな疾患「COPD」とは ~専門医解説
加齢からではない重要なサイン
中高年ともなると毎日の生活の中で、咳や痰の絡みなどといったノドの不調だったり、ちょっと動いただけで息切れがしてしまったりなど誰しも体の異常を覚えることがあるはずだ。
多くの人はそれを「年のせい」と軽く考えてしまいがちだが、ちょっと待ってほしい。実はそれこそが重篤な病気を知らせるサインかもしれないのだ。
潜在患者数は500万人以上。ゆっくりだが、確実に進行する「COPD」
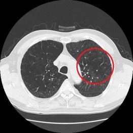
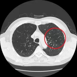
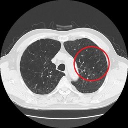
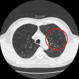
今、中高年を中心に増えている警戒すべき呼吸器の病気がある。「慢性閉塞性肺疾患」、いわゆる「COPD」がそれだ。
厚生労働省の調べによると2023年現在、日本でCOPDの治療を受けている人は約38.2万人。しかし、潜在患者数は500万人以上と推定されており、適切な治療を受けていない人が相当数いることから高齢化が進む今、その状況が懸念されている。
COPDとはどんな病気なのか、専門医として長年多くの患者と向き合ってきた「呼吸ケアクリニック東京」の茂木孝理事長に聞いてみた。
「ひと口でいえば、肺の空気の通り道が潰れて空気の流れが悪くなっている、そんな状態が続いている肺の状態を指します。COPDを発症すると咳や痰が増えますが、これらは日常生活でも風邪を引いた時などにもしばしば見られることなので、それほど深刻には考えない方がほとんどです。慢性閉塞性肺疾患という病名でも分かるようにこの病気は進行がひじょうにゆっくりなのが特徴で、20歳で喫煙開始なら症状が出始めるのが40歳を過ぎたくらい。CODPと診断がつくのはもうちょっと後で大体60歳ぐらいからになりますね」
茂木先生のお話を聞いていると、COPDはそれほど重篤な病気のようには思えないが、決してそんなことはない。症状が最も進んだ場合、着替えをしたり入浴しただけでも息切れで苦しむことになるというからQOLが著しく損なわれ、健康的な生活が送れなくなってしまうのだ。
喫煙が要因でCOPDを引き起こすケースも
CODPはいったいなぜ起こるのだろうか。最大の危険因子となるのが「喫煙」だ。
日本人を対象にした研究では現在または過去において喫煙の経験がある人のCOPD有病率は現在・過去ともに12.4%で、非喫煙者の4.7%に比べて約2.6倍も高くなっており、このリスクは加齢とともにさらに上昇。有病率は60代で12.2%、70歳以上では17.4%にも上ることが明らかになっている。
この点、前出の茂木理事長も、「COPDの発症と最も関連があるのは、たばこと考えて間違いないでしょう。たばこを長期にわたって吸っているうちに症状が進むと空気の通り道だけではなく、その先端の肺胞が壊れて穴が開きます。これがいわゆる『肺気腫』で、こうなると酸素と二酸化炭素の交換がうまくできずに息切れがひどくなり、最悪、常に酸素ボンベを持ち歩かなくてはならなくなるなど普通の生活が送れなくなってしまうのです」とその弊害を認める。
COPDの発症は受動喫煙がきっかけ~患者体験記
COPD患者の中尾憲三さんは今年72歳。
45歳の時ノドの異変を感じて病院に行き、以来今日までずっと定期的に通院し、吸入ステロイドと気管支拡張剤の2つの薬を服用し続けている。この間、COPDと認定されたのは53歳の時だという。
「大学を卒業して銀行に定年まで務めました。私自身は勤め始めてから4年間ほど、2~3日に1箱くらいしか、たばこは吸っていなかったのですが、何しろ昭和の時代ですから社内にはヘビースモーカーがたくさんいました。狭い会議室での打ち合わせ中も出席者はみんなスパスパ吸っていましたからね。もともとノドが弱かったということもあって私は受動喫煙の副流煙にやられてしまったのではないかと思っています」
知名度をアップし正しい知識を伝えたい
中尾さんは今、COPD患者としての自らの体験を1人でも多くの人に知らせるとともに、治療の効果をより高めてもらいたいとNPO法人「環境汚染等から呼吸器病患者を守る会(エパレク)」の理事長として日々積極的に活動している。
「COPDは誰にでも起こり得るとてもポピュラーな病気ですが、そのわりには知名度がなさすぎるのですよ。まずはそれを何とかしたい。COPDのことがもっと話題になれば正しい治療法が広まりますし、中にはせっかく治療を始めても途中でやめてしまい、病状を悪化させてしまう人もいますので、そういう人を減らすこともできます。その意味でこれからも啓蒙活動をしっかりやっていきたいですね」
日頃の予防をしっかりと、COPD予防の4つのポイント
前述したようにCOPDは喫煙が最大の要因と考えられている。しかし、長年喫煙を続けていても全ての人がCOPDを発症するわけではない。
逆にたばこを吸ったことがなくてもCOPDになってしまう人もおり、喫煙以外にも受動喫煙や大気汚染、職業的因子、遺伝的要因、食事習慣、ぜんそくや小児期の肺の病気などCOPDを引き起こす外因性・内因性因子は少なくない。
それだけに何よりも大事になってくることはCOPDにならないよう日頃から「予防」をしっかりするということ。そのためのポイントを茂木理事長に聞いてみた。
①喫煙しているならまずは禁煙
医療機関なら禁煙の飲み薬による治療が可能。3カ月の治療で大体5~7割が禁煙に成功している。薬局ではニコチンガムやニコチンパッチも購入できる。
②検診
COPDか否かを見極めるには呼吸に伴って出入りする空気の量を測り、息を吸う力・吐く力を調べる肺機能検査が必須だが、健康診断の項目にはその検査がほとんど含まれていないので、やる機会が少ない。そこで年に一度は検査を受ける。特に喫煙者や子どもの頃に小児ぜんそくなど肺・気管支の病気を持っていた人はやったほうがいい。
③呼吸のリハビリ
COPDは呼吸のうち吐くほうが下手くそになってくる病気。人間は加齢によって吐く力がだんだん弱くなっていく。1秒間に息を吐き出す量を調べてみると健康な人だと年間20㏄くらい落ちていくのに対して、COPDになると年間40~100㏄と2~5倍のスピードで減っていく。それを少しでも防ぐためには呼吸する際、意識して吐くほうに力を入れる「呼吸のリハビリ」がおススメ。吸うほうを1とすると吐くほうを3ぐらいの時間をかけるイメージで口をすぼめてゆっくり吐くのがポイント。
④体を鍛える
COPDは体力があるかないかで罹患後の経過が全く異なり、体力があると進行を食い止めることができる。さらに呼吸にとって大切な筋肉が横隔膜。呼吸する力の3分の2は横隔膜が担っている。そこで、横隔膜そのものを鍛えるのは難しいが、体力を維持するために日頃から積極的に体を動かしていることが大切。
炎症を根本から抑える生物学的製剤に期待が
日々進歩する医療の世界にあってCOPDも例外ではない。近年は、より効果の高い新薬が開発されているほか、一部のCOPDではあるがこれまで完治ができないとされていたCOPDを肺の中で起きている炎症そのものにアプローチして根本から治療できる可能性のある生物学的製剤と呼ばれる注射による治療もでてきているというからCOPD患者にとっては朗報といえるだろう。
COPDは直接の死因になるだけでなく、肺がんの発生率が健康な人の3~7倍と高いことや心不全や狭心症、心筋梗塞などの心疾患にも影響を与える恐ろしい病気であることが分かっている。それだけに日頃からしっかりとケアしておきたいものだ。
■取材協力:茂木孝理事長「呼吸ケアクリニック東京」


















