咳
-

冬に増える「夜ひどくなる咳」の原因と対策…“夜間咳”を減らして感染症予防
冬になると、日中はそうでもないのに、寝ると咳が出る──。原因と対策は? そらいろ耳鼻咽喉科センター北駅前院の内尾紀彦院長に聞いた。 冬の“夜間咳”で、痰の絡まない乾いた咳の場合、原因で多いのは寝室の乾燥だ。 「乾燥で喉...
-

長引く咳や痰を改善…濃いめ塩水の「鼻うがい」&「上咽頭擦過療法」
風邪をひいたりコロナに感染した後、止まらない咳、痰、喉の違和感、声がれなどが続く場合、「慢性上咽頭炎」の可能性が高い。頭痛、めまい、疲労感、コロナ後遺症のブレーンフォグ(集中力・記憶力・気力低下)などさまざまな不調も伴いやすい。慢性...
-

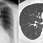
咳や痰が続きつらいなら疑うべき…「気管支拡張症」とは?
「長引く咳」に悩んでいるようなら、もしかしたら気管支拡張症かもしれない。近年、欧米では一度忘れられかけたこの病気に注目が高まっている。JCHO東京山手メディカルセンター呼吸器内科の徳田均医師に聞いた。 風邪が治っても咳や痰がい...
