咳や痰が続きつらいなら疑うべき…「気管支拡張症」とは?
「長引く咳」に悩んでいるようなら、もしかしたら気管支拡張症かもしれない。近年、欧米では一度忘れられかけたこの病気に注目が高まっている。JCHO東京山手メディカルセンター呼吸器内科の徳田均医師に聞いた。
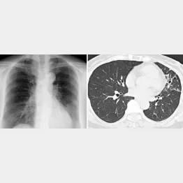
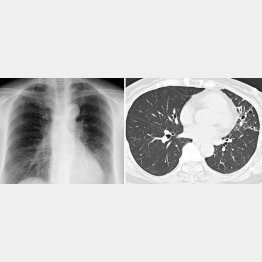
風邪が治っても咳や痰がいつまでも続き、つらく、夜も熟睡できない。
これらの症状が見られる病気のひとつに気管支拡張症がある。この病気は、何らかの要因で気管支に傷ができ、そこに細菌が定着。過剰な免疫反応で炎症が慢性化し、結果的に気管支が拡張する。
「かつては、結核や小児期の肺炎などをきっかけに発症し、その後感染を繰り返して徐々に悪化していくものと理解され、治療も消極的なものでした。しかし、抗菌薬が普及し、ワクチン接種で小児の肺炎が減少。これに伴い、気管支拡張症の注目度も低下し、“orphan disease”と呼ばれたこともあります」
orphan diseaseとは、「極めて患者数が少なく、製薬企業が関心を示さないような病気」という意味だ。


















