コロナは15日ごとに変異…凶暴なウイルスに変身するのか?
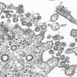
世界中に感染が急拡大している新型コロナウイルス。頻繁に変異していることがわかった。科学雑誌「ナショナルジオグラフィック日本版サイト」は3月31日、新型コロナの変異についての最新情報を伝えた。
研究者がデータを投稿する「ネクストストレイン」というサイトには、実際の患者から…
この記事は有料会員限定です。
日刊ゲンダイDIGITALに有料会員登録すると続きをお読みいただけます。
(残り815文字/全文956文字)
【ログインしていただくと記事中の広告が非表示になります】
今なら!メルマガ会員(無料)に登録すると有料会員限定記事が3本お読みいただけます。


















