「脳動脈瘤」をスクリーニングするAI画像診断支援ソフトの威力
医師単独の読影に比べて診断精度が9%アップ
                         では、正しく陽性と診断できた症例の割合を示す「感度」は、どれくらいなのか。
「医師単独で読影した場合の感度68.2%と比べ、同ソフトを用いて読影した場合は感度77.2%と診断精度の向上が認められています。また、今年6月には新モデルが発売され、旧モデルと比べ感度を下げることなく、偽陽性の数が平均3分の1に減りました」
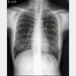
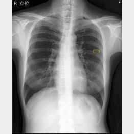
 昨年8月に発売された「EIRL Chest Nodule(エイル・チェスト・ノジュール)」は、胸部X線画像から肺がんの可能性が疑われる「肺結節(陰影)」を検出するAI診断支援ソフト。医師単独で読影した場合と比べ、同ソフトを用いると感度が放射線専門医で9.95%、非専門医で13.1%向上することが認められているという。                    

 
                             
                                        



















 
                     
                     
                     
                     
                     
                     
                     
                     
                     
                     
                     
                     
                                 
                                 
                                 
                                 
                                 
                                 
                                 
                                 
                                 
                                 
         
         
         
         
         
         
         
         
                                 
                                 
                                 
                                 
                                 
                                 
                                 
                                 
                                 
                                 
                                 
                                 
                                